Пн-Сб: 09:00 - 19:00
Нд: вихідний
+38 (067) 557-32-32 пр. Яр. Мудрого (Ак. Глушка), 32
+38 (067) 555-32-32 вул. Семена Палія, 113а
+38 (096) 737-32-32 вул. Кленова, 2А
Блог
-
Причини та симптоми гострого риносинуситу
Гострий риносинусит, або гайморит, це запалення слизової порожнини носа і навколоносових пазух. Спостерігається при широкому спектрі захворювань верхніх дихальних шляхів від ГРВІ до бактеріального зараження.
-
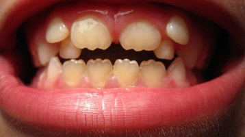
Види та причини аномалій форм зубів
Хороші зуби – це не тільки приваблива посмішка. Це ще й можливість довгий час обходиться без серйозного протезування. Однак іноді під час росту виникають аномалії форми зубів, і виявлення цих аномалій розвитку має більше значення.
-
У чому проявляється гіпоплазія емалі
Гіпоплазія емалі - патологія, яка проявляється в недорозвиненні зубної емалі і часто приносить багато незручностей пацієнтам.
-
Причини та симптоми вазомоторного риніту
Вазомоторний рініт – захворювання, яке характеризується ослабленим тонусом судин у носових раковинах, що призводить до порушень припливу та відтоку крові, закладання, набряклості та значним виділенням сер.
-
Причини і симптоми помилкового крупу
Хибний круп – захворювання, яким часто хворіють діти віком від 6 місяців до 3-х років. Підвищена захворюваність серед дітей спостерігається восени і взимку і збігається з піками парагрипу. Дорослі практично не страждають від цієї хвороби.
-
Причини і симптоми отомікозу
Грибок у вухах – досить поширене захворювання у всіх вікових групах. Розмноженню патогенних мікроорганізмів у зовнішньому слуховому проході сприяють його фізіологічні та анатомічні особливості, зниження імунітету та супутні захворювання.