Видалення зуба мудрості

Інші послуги

Своєю коронкою можуть травмувати сусідній зуб. У разі таких ситуацій стоматологи рекомендують атипове видалення зуба мудрості. Своєчасна операція допоможе уникнути травм та виникнення каріозного запалення. Фахівці клініки хірургічної стоматології Profident Junior проведуть операцію максимально швидко та безболісно.

Коли видалення атипового зуба є обов'язковим?

Не варто думати, що зуби мудрості зовсім не потрібні людині. Якщо вони розташовані правильно і не створюють проблем, фахівці докладають максимум зусиль для їх збереження. Але є свідчення, при яких атипове видалення зуба мудрості є єдино правильним рішенням.

  • травмування зуба або щоки, що знаходиться поруч;
  • запалення ясен при частковому прорізуванні зуба, особливо якщо спостерігається виділення гною;
  • 8-й зуб стає причиною гострого болю або відчуття розпирання ясен;
  • корінням або коронкою «вісімка» травмують сусідній зуб.

Атипове видалення зубів – це оперативне втручання підвищеної складності. Провести його здатний лише фахівець вищої категорії. Іноді доводиться видаляти частину щелепної кістки, накладати шви. До питання видалення атипового зуба мудрості потрібно підходити дуже відповідально.

Видалення зуба мудрості

Як відбувається атипове видалення зуба?

Операція атипового видалення зуба зачіпає не тільки «вісімку» і слизову, але також окістя і кістку. Оперативне втручання зазвичай здійснюється під місцевою анестезією. Але якщо операція обіцяє бути складною та тривалою, атипове видалення зуба мудрості проводиться з використанням медикаментозного сну.

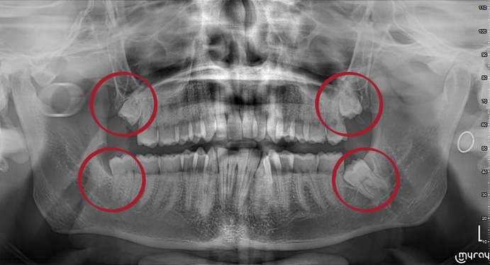
Спочатку роблять панорамний знімок, який допоможе визначити стан зубів: довжину коренів та їх форму, відстань до гайморової пазухи та нерва. При частковому прорізуванні зуба знімок покаже, скільки кісткової тканини знаходиться над його коронкою. Це допоможе спланувати атипове видалення зубів мудрості та успішно провести операцію.

Атипове видалення 8-го зуба зазвичай проводиться частинами. Спочатку хірург знімає кістковий «дах», потім відокремлює коронку від коренів і по черзі витягає їх. Після операції пацієнту призначають антибіотики, протизапальні та знеболювальні препарати.

Атипове видалення 8-го зуба ускладнене в клініці Profident Junior

Складне та атипове видалення зубів у клініці Profident Junior проводиться з використанням найновішого обладнання та надійних інструментів. Фахівці застосовують європейські методики, що дозволяють безболісно і швидко виконати хірургічну операцію будь-якого типу, у тому числі видалення зуба мудрості з розрізанням ясен.

Атипове видалення зуба, залежно від складності, проводиться з використанням місцевої або загальної анестезії. Персонал забезпечує стерилізацію та чистоту, що гарантує безпеку під час лікування.

Ціну на атипове видалення зуба мудрості у клініці Profident Junior можна дізнатися, записавшись на консультацію. Це можна зробити не лише по телефону, а й онлайн, заповнивши просту форму на сайті.

У Profident Junior використовуються всі методи атипового видалення зубів. Стоматологи-хірурги мають необхідні навички і постійно підвищують свою кваліфікацію.

Ціни на послуги:

Видалення зуба мудрості. Ціни
Найменування послуги: Ціна:
Видалення 8-го зуба неускладнене 2000 грн
Атипове видалення 8-го зуба ускладнене 4000 грн
Більше інформації ви знайдете у разділі Ціни

Наші фахівці

всі фахівці

Байдиш Віталій Андрійович

Дитячий та дорослий лікар-стоматолог

Трум Віктор Миколайович

Дитячий та дорослий лікар-стоматолог. Терапія і хірургія